芸スポ 2025-05
芸スポ
嫌儲 経産省「情報処理安全確保支援士(独占業務なしの国家資格)を7.8倍のペースで増やすぞ!」
嫌儲 【動画】中国美女、とんでもねえ威力の水鉄砲を披露
ニュー速+ 【教育】月1万円の手当が半額に…特別支援学級担任たちの悲鳴「仕事は1.5倍に増えているのに」“過酷な現場”から上がる怒りの声
ニュー速 日本人、粗相した大便を食わされ衰弱死
嫌儲 あらゆるデータが不明なヒト科(見た目2、30代の女性)が児童福祉施設で職員(55)の両腕を包丁で斬りつけ 職員はその後死亡 滋賀市
ニュー速 日本女が七大陸の最高峰登頂と北極点・南極点到達 世界最年少記録達成😢
なんG 【画像】この日本地図でド田舎認定されてる県に住んでる奴www
ニュー速 自販機のいじわるゴミ箱、日本全国で流行り出す(画像あり)
ニュー速+ 【兵庫】「誰から聞いたんや?聞いた者、全部名前言え」 元県民局長のプライバシー情報漏えい問題を検証 斎藤知事の指示は?
ニュー速 【危険】中国に行き配車アプリを利用したら乗車拒否&殴られる 総領事館「日本語を使うな」
嫌儲 大阪万博、15万人来場してしまう
ニュー速+ 【兵庫】パソナと陸上自衛隊、連携を強化
ニュー速 中国のワカサギ釣り
嫌儲 「ルール覚えろ」元農相、小泉氏に苦言 農林族への根回しがない💢
なんG ワイ、ニート、渋谷に行ってみる
嫌儲 6月のUSJ、ガラガラ…万博行くくらいならUSJ行くだろ界隈早く行って!!(´;ω;`)
ニュー速+ 「偏向教育」発言、撤回を 石垣市長に退職教員ら抗議決議 沖縄
嫌儲 ジャップ、国民の2割が「宝くじ」を買っていた… まだまだ余裕あんぢゃん
ニュー速+ 【アジア安保会議】台湾有事「壊滅的結果招く」 米国防長官、軍事介入を示唆―国防費増額も要求
なんG 【改憲】参政党が作った憲法草案がガチのマジで「有り」だと話題に
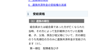
嫌儲 【画像】公務員の共済年金の遺族年金がチートすぎるとネットで話題に…孫も支給の対象になる
嫌儲 自民党・西田昌司さん、一度撤回と謝罪したひめゆりの塔発言でまた正当性を主張しだす 非常にしつこい
嫌儲 維新・松井一郎議員が怒りあらわ「斎藤は知事を続けたいと思ってるなら、再び辞任して選挙を行い民意の判断を仰げ」
芸スポ 【相撲】元横綱・白鵬の宮城野親方、退職決まれば9日に記者会見
嫌儲 西田昌司議員、まだ戦っていた
ニュー速+ “親知らず”抜歯で全身麻酔受け心肺停止…17歳男子生徒が死亡 書類送検の歯科医師らを不起訴処分 大阪地検
ニュー速+ 【福岡】入れ歯をコップで洗い「出禁」になった飲食店に”建造物侵入” 81歳の男を現行犯逮捕
嫌儲 イーロン・マスクさん、大統領選挙中もドラッグ💉キメまくってた!側近証言
ニュー速+ 